703-751-2656 info@artifexlab.com

Products

Ready to order?  Here’s our Order Form.

Triple Jig

A patented protocol for the immediate load process in which our clients may restore full arch hybrid cases in as little as two restorative appointments, three weeks apart, 30 minutes each – same as a single unit.  Learn more

Conventional Crown & Bridge

Custom Shading – At Artifex, we see patients everyday for custom shading.  This is really advantageous when working on anterior teeth in the costmetic zone.  At the patient’s first appointment with us, one of our professional ceramists will map their shade. This appointment usually takes around 15 minutes.  We will deliver the case to you for insert.  If the color does not meet expectations, we ask our dentists not to cement the crown, but to send the patient over so we can correct the shades in the patient’s mouth.

Milled PMMA Temporaries

PMMA temporary and immediate denture

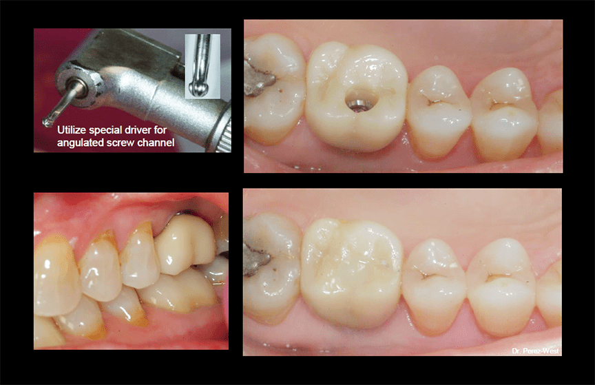
Implant Crown & Bridge

Digital Implant Dentistry

Change in dentistry is moving at a furious pace.  At Artifex, we have all of the newest technology such as scanners, milling machines and 3D printers.  Simply send your intraoral file to Artifex and we will design and fabricate your case.  If there is no digital impression, we will scan and virtually design from your physical impression. 

Implant Hybrids

One of the fastest-growing dental procedures is immediate load full arch prothesis.  Artifex is the leader in dental laboratories in this protocol.  We recognize how difficult these cases are and we feel it is our job to help make this procedure as easy as we can for the dentist and patient.  Learn more

Over Denture

3D Printed Night Guards